I truly never thought we’d be here.
Our journey to this very moment has been such a long one, that it just didn’t feel like it would ever happen for us.
We prayed and prayed for a child, and we waited so very long that after years of disappointment, we finally just accepted that maybe parenthood just wasn’t for us; maybe we just were not meant to be Mom and Dad.
We settled in to that idea, and comforted ourselves by constantly saying that we were happy with our lives. We could go anywhere, do anything, be anyone we wanted, all without the baggage that a baby would undoubtedly bring.
We cringed at the sound of a baby’s cries in public, eyeing each other with the familiar look that silently conveyed how lucky we felt that our lives weren’t complicated by spit-up and screaming.
We overindulged in everything, convinced that material things mattered the most: expensive trips, unnecessary gifts, fine dining and lots and lots of alcohol. We were a complete mess, but neither one of us wanted to admit that despite the excess, our lives were clearly lacking. We were covering up an emptiness we both felt deep inside, masking the pain and disappointment with temporary joy.
And then one day, all that changed…so simply, so effortlessly, so unexpectedly. Two faint little lines on a pregnancy test changed our lives forever.
I took the test that day, knowing without a doubt that there was no way I was pregnant.
“It’s just for definitive proof,” I told myself as I retreated to the bathroom.
The proof was indeed undeniable: two tiny lines, barely even visible, signifying new life.
I took another, convinced the result was a malfunction.
And I sat there in disbelief, staring at the secondary results.
“You’ve got to be fucking kidding me,” I whispered, completely unsure as to how this was even possible, after so many let downs year after year.
I had so many cute plans stored up in my head on how I’d announce our growing child to my husband. Hell, I even had a whole Pinterest board dedicated to it.
But in that very moment, those sweet ideas for surprising him went straight out the window; I couldn’t wait a second longer to share the news with him.
Bursting through the bathroom door, I shouted to him with pure, unimaginable excitement: “BABE! WE’RE FUCKING PREGNANT!”
Clutching the tests in my hand, I raced over to him, grinning from ear to ear. He was absolutely stunned, and completely speechless.
I have never felt more joy than I did that afternoon. And allowing that emotion to rise to the surface was incredibly freeing; I could finally admit to myself, and the world, that I’d lied all along. Being a mother wasn’t, and still isn’t something I view as a burden, or an inconvenience, or a hinderance to my way of life. It’s the one thing I’ve wanted more than anything.
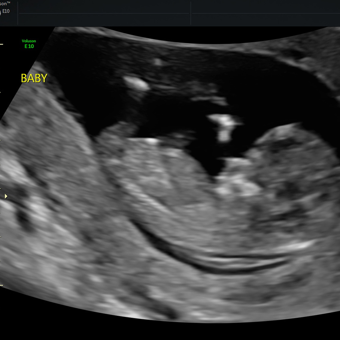
Since the moment we found out that we’re pregnant, I just kept waiting for the other shoe to drop…to find out something was wrong, or to lose this child we so desperately want. But God had other plans, and I cannot express my gratitude enough.
This pregnancy is beyond special for us, and I am just so incredibly thankful for this miracle.





Leave a comment